Dental X-Rays
We are here to discuss the importance of dental x-rays.
About
X-rays are a cornerstone of modern dentistry, playing a pivotal role in the diagnosis, treatment, and monitoring of various dental conditions. Through the use of X-rays, dental professionals gain valuable insights into the internal structures of the mouth, allowing for more accurate assessments and targeted interventions. At Downtown Sleep Dentistry & Oral Surgery, we recognize the importance of X-rays in delivering comprehensive dental care tailored to the individual needs of our patients.
Our practice utilizes state-of-the-art digital X-ray technology, which offers numerous advantages over traditional film-based X-rays. Digital X-ray machines employ a small sensor that is placed inside the mouth, either on a plastic device that the patient bites down on or on a handheld wand that the dentist can maneuver as needed. This sensor captures detailed images of the teeth, gums, and surrounding structures, which are then transmitted to a computer for immediate viewing and analysis.
One of the primary benefits of digital X-rays is their ability to produce high-resolution images with minimal radiation exposure. Compared to conventional film X-rays, digital X-rays require significantly less radiation, making them safer for both patients and dental staff. Additionally, digital X-rays offer enhanced image quality, allowing for better visualization of dental anatomy and pathology.
At Downtown Sleep Dentistry & Oral Surgery, we offer a range of X-ray techniques tailored to the specific needs of each patient. These include:
”Bitewing
Bitewing X-rays are commonly used to detect decay between the teeth and assess the health of the supporting bone. By capturing detailed images of the upper and lower teeth in a single view, bitewing X-rays enable early detection of cavities and periodontal disease.

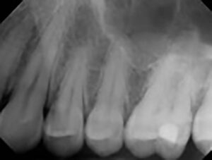
Periapical X-rays:
Periapical X-rays provide a comprehensive view of individual teeth, from the crown to the root tip. These X-rays are invaluable for identifying issues such as abscesses, cysts, and root canal abnormalities, enabling prompt intervention and treatment.

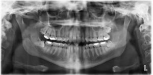
Panorex X-rays:
Panoramic X-rays offer a panoramic view of the entire mouth, including the teeth, jaws, sinuses, and surrounding structures. This comprehensive imaging technique is particularly useful for assessing overall dental health, planning orthodontic treatment, and evaluating the positioning of wisdom teeth.

By incorporating advanced X-ray technology into our practice, we strive to provide our patients with the highest standard of care while minimizing radiation exposure and maximizing diagnostic accuracy. Our skilled dental team is dedicated to leveraging X-rays as a valuable diagnostic tool to support informed treatment decisions and ensure optimal oral health outcomes.
In addition to diagnostic purposes, X-rays also play a crucial role in treatment planning and monitoring. For example, X-rays may be used to assess the progress of orthodontic treatment, evaluate the success of dental restorations, or monitor the healing process following oral surgery. By regularly monitoring changes in dental anatomy and pathology, we can tailor our treatment approach to meet the evolving needs of our patients.
In conclusion, X-rays are indispensable in modern dentistry, offering insights into the oral health of our patients. At Downtown Sleep Dentistry & Oral Surgery, we are committed to the power of digital X-ray technology to aid us to deliver exceptional dental care that is safe, precise, and tailored to the unique needs of each individual. By prioritizing the judicious use of X-rays and embracing advancements in imaging technology, we aim to provide our patients with the highest level of care and comfort throughout their dental journey.
Should you have any questions about X-rays, please do not hesitate to contact us today. We are always happy to answer all of your questions.
Call: 905.528.8959
Working Hours
Monday-Friday from
8 a.m. – 3:30 p.m.
Consultation
We are here to answer any and all questions you may have regarding your sedation dentistry appointment.